
COMMON DENTAL CONCERNS
Throughout the course of your life, many problems can happen to your teeth and mouth. Learning how to quickly treat these problems, and ideally prevent, these problems is a positive, proactive step to take in your oral health. Cavities and tooth decay are so common that you may not take them seriously. Small cavities are most commonly filled, but if the cavity continues to grow and becomes larger, a crown will be needed. If the cavity becomes large enough to invade the nerve, a root canal and crown will be needed to save the tooth. If a large fracture occurs or there is severe decay, it may not be possible to save the tooth; removal and replacement may be required. It is much easier to treat the cavity earlier.

Complications may include:
- •Pain
- •Tooth abscess
- •Tooth loss
- •Broken teeth
- •Chewing problems
- •Serious infections
- •Oral Cancer
In addition, when cavities and decay become severe and very painful, they can interfere with daily living. The pain may prevent you from going to school or work, for instance. If it's too painful or difficult to chew or eat, you may lose weight or develop nutrition problems. Cavities that affect your appearance or result in tooth loss may affect your confidence and self-esteem, not to mention health issues, such as cardiovascular disease, GERD, IBS which can occur without adequate maintenance of your teeth. In rare cases, an abscess from a cavity can cause serious or even life-threatening infections when not properly treated.
Oral Cancer
Oral cancer is one of the most common cancers today and has one of the lowest survival rates, with thousands of new cases being reported each year. Fewer than half of all people diagnosed with oral cancer are ever cured.
Moreover, people with many forms of cancer can develop complications-some of them chronic and painful-from their cancer treatment. These include dry mouth and overly sensitive teeth, as well as accelerated tooth decay.
If oral cancer is not treated in time, it could spread to other facial and neck tissues, leading to disfigurement and pain.
Older adults over the age of 40 (especially men) are most susceptible to developing oral cancer, but people of all ages are at risk.
Oral cancer can occur anywhere in the mouth, but the tongue appears to be the most common location. Other oral structures could include the lips, gums and other soft palate tissues in the mouth.
Warning Signs
In general, early signs of oral cancer usually occur in the form of lumps, patchy areas and lesions, or breaks, in the tissues of the mouth. In many cases, these abnormalities are not painful in the early stages, making even self-diagnosis difficult.
Here are some additional warning signs:
- •Hoarseness or difficulty swallowing.
- •Unusual bleeding or persistent sores in the mouth that won't heal.
- •Lumps or growths in other nearby areas, such as the throat or neck.
If a tumor is found, surgery will generally be required to remove it. Some facial disfigurement could also result.
If a biopsy is recommended, follow through! It can be a life-saver.

Dry Mouth (More damaging than you think)
DRY MOUTH, also known as "XEROSTOMIA" (Greek: "xero" = dry; "stoma" = mouth), is a very common condition. It affects about one in every four to five adults, mainly women. Moreover, its prevalence increases with age. Fifteen to 20% of young adults older than 20 years complain of oral dryness; by 60-80 years of age, roughly 30-40% of the aged suffer from oral desiccation. Dry mouth is primarily caused by medications, dehydration, radiation or chemotherapy and systemic diseases.
We all need saliva to moisten and cleanse our mouths and digest food. Saliva also prevents infection by controlling bacteria and fungi in the mouth. When we don't produce enough saliva, our mouth gets dry and uncomfortable. Fortunately, there are many effective treatments for dry mouth.
Why Is Dry Mouth a Problem?
Besides causing the aggravating symptoms mentioned above, dry mouth dramatically increases a person's risk of cavities, rawness and soreness of the tongue and gums, burning mouth syndrome, inability to chew up and swallow foods, gingivitis (gum disease), and mouth infections, such as thrush.
Dry mouth can also make it difficult to wear dentures.
What Causes Dry Mouth?
There are several causes of dry mouth. These include:
- •Side effect of certain medications. Dry mouth is a common side effect of many prescription and nonprescription drugs, including drugs used to treat depression, anxiety, pain, allergies and colds (antihistamines and decongestants), obesity, acne, epilepsy, hypertension (diuretics), diarrhea, nausea, psychotic disorders, urinary incontinence, asthma (certain bronchodilators), and Parkinson's disease. Dry mouth is also a side effect of muscle relaxants and sedatives.
- •Side effect of certain diseases and infections. Dry mouth can be a side effect of medical conditions, including Sjögren's syndrome, HIV/AIDS, Alzheimer's disease, diabetes, anemia, cystic fibrosis, rheumatoid arthritis, hypertension, Parkinson's disease, stroke, and mumps.
- •Side effect of certain medical treatments, like chemotherapy or radiation therapy. Damage to the salivary glands, the glands that produce saliva, for example, from radiation to the head and neck and chemotherapy treatments for cancer, can reduce the amount of saliva produced. Fluoride trays for a patient to wear to strengthen teeth are one of few effective ways to diminish the detrimental effects of xerostomia.
- •Nerve damage. Dry mouth can be a result of nerve damage to the head and neck area from an injury or surgery.
- •Dehydration. Conditions that lead to dehydration, such as fever, excessive sweating, vomiting, diarrhea, blood loss, and burns can cause dry mouth.
- •Surgical removal of the salivary glands
- •Lifestyle. Smoking or chewing tobacco can affect saliva production and aggravate dry mouth. Continuously breathing with your mouth open can also contribute to the problem.
What Are the Symptoms of Dry Mouth?
Common symptoms of dry mouth include:
- •A sticky, dry feeling in the mouth
- •Frequent thirst
- •Sores in the mouth; sores or split skin at the corners of the mouth; cracked lips
- •A dry feeling in the throat
- •A burning or tingling sensation in the mouth and especially on the tongue
- •A dry, red, raw tongue
- •Problems speaking or difficulty tasting, chewing and swallowing
- •Hoarseness, dry nasal passages, sore throat
- •Bad Breath
- •Denture loses suction
How Is Dry Mouth Treated?
If you think your dry mouth is caused by certain medication you are taking, talk to your doctor. He or she may adjust the dose you are taking or switch you to a different drug that doesn't cause dry mouth. In addition, an oral rinse to restore mouth moisture may be prescribed. This artificial saliva is similar to eyedrops, or artificial tears. It does not cure the problem but helps prevent further destruction. If that doesn't help a medication that stimulates saliva production, called Salagen, may be prescribed.
Other steps you can take that may help improve saliva flow include:
- •Sucking on sugar-free candy or chewing sugar-free gum
- •Drinking plenty of water to help keep your mouth moist
- •Protecting your teeth by brushing with a fluoride toothpaste, using a fluoride rinse, and visiting your dentist regularly
- •Breathing through your nose, not your mouth, as much as possible
- •Using a room vaporizer to add moisture to the bedroom air
- •Using an over-the-counter artificial saliva substitute

Diabetes
People living with diabetes are vulnerable to a host of systemic problems in their entire body. Unfortunately, the mouth and teeth are not immune from such problems, and many diabetics with oral problems go undiagnosed until conditions become advanced.
Infections and other problems such as receding gums and gum disease, or periodontal disease, are common afflictions among diabetics for many reasons; for instance, diabetics often are plagued by diminished saliva production, which can hamper the proper cleansing of cavity-causing debris and bacteria from the mouth. In addition, blood sugar levels that are out of balance could lead to problems that promote cavities and gum disease.
In any surgical situation, diabetics usually heal slower, and sometimes do not ever heal as well as those without diabetes. To the contrary, a long-term, well-controlled diabetic can handle most situations the same as if he or she did not have diabetes.

Gum Disease (Gingivitis and Periodontitis)
Gingivitis is the medical term for early gum disease, which can lead to periodontitis. Many times, a patient does not see or feel anything as the disease progresses; it is often a silent disease.
This progression is cumulative, and it is almost always avoidable. Gingivitis and periodontitis have a stigma lately because of the increase in recommendations for deep cleanings, which are time-consuming and more expensive.
Here are the basics:
- •Any food or debris which remains on the teeth becomes plaque (the sticky, fuzzy feeling when you haven't cleaned your teeth for a few hours). Plaque can still be brushed or cleaned off the teeth by you.
- •Once plaque remains on the teeth for 24 hours or more, it hardens and becomes calculus, or tartar. Calculus is actually a small colony of bacteria living in your mouth. You cannot remove this substance with a brush, floss or a waterpick. A normal dental cleaning can remove calculus that not under the gums. Most calculus at this early stage is above the gums.
- •After this happens, you still form more plaque. Now it forms on top of the colonies of calculus. Though you cannot remove the calculus, you can remove newly forming plaque. If plaque is removed, the colonies do not grow larger. If the new plaque remains long enough to form calculus, the colonies become larger.
- •If not cleaned, the gum tissues become irritated; this is like having asphalt stuck in your knee after a fall, and not removing it. This is gingivitis. These tissues become irritated, and peel away from the teeth allowing the bacterial colonies to invade the areas under the gums. Now it becomes more difficult to clean.
- •On top of this, where the tissue peels away, the bone dissolves as the colonies invade its space. This is where it becomes periodontal disease. The tissue peeling away forms periodontal pockets.
- •Without anything stopping it, the colonies will continue to creep down the tooth or teeth until there is no more bone around the teeth.
- •Bone is what hold your teeth in your mouth; if you lose the bone, the teeth become mobile and will be lost.
How is this progression prevented?
- •If you get the plaque off with regular cleaning at home and normal dental visits, you can generally avoid this progression.
- •Even if you progress to gingivitis, a regular dental cleaning will almost always resolve the problem, and you will have no permanent damage. Sometimes an antibacterial rinse is used to help keep the bacteria from invading the tissue further.
- •Once the colonies enter the pockets, and bone dissolves, there is permanent damage, BUT you can stop it from progressing by getting rid of these deeper colonies. This is called scaling and root planning, or deep cleaning. It cleans the colonies, the calculus and the plaque off your teeth.
- •Now you have a clean slate. If plaque is allowed to start the same process again, this entire pattern will be repeated.
- •This pattern can be avoided. Because of the permanent damage which has occurred, however, your teeth should be checked more often. Bacteria can build back up in about three months, so it is shrewd to check in after about 6 weeks for healing, and removal of any minor plaque and calculus build up. This is also a good time to note any areas you may not realize you are missing when you are cleaning BEFORE the calculus invades again.
- •At 3 months, the accumulation of bacteria is checked again. The amount of accumulation helps to make an intelligent decision about when you should return for cleanings. Some people start to come back every six months after one year; some people come back every 3-4 months forever.
Other important facts about periodontal disease:
- •If colonies invade farther than a deep cleaning can reach (usually 6 millimeters into the pocket), laser therapy or surgery may be required to remove the bacteria and save the teeth.
- •If the periodontal disease has progressed so far that the tooth cannot be saved, it should be removed.
- •A tooth with periodontal disease which is not removed can spread the disease to neighboring teeth, is linked to serious cardiovascular problems, is linked to diabetes, and is linked to pre-term, low birth rate babies.
- •If there is a single stubborn spot or two having trouble healing after all cleaning is complete, there are powders of antibiotics which can be placed next to the infected gums to rid the area of the last minute remains of the bacteria.
- •Although gum disease is the major cause of tooth loss in adults, in many cases it is avoidable.
Pregnancy has also been known to cause a form of gingivitis. This has been linked to hormonal changes in the woman's body that promote plaque production.
If periodontitis exist when an implant is placed, the same bacteria can invade the area around the implant and decrease its success.

Abscessed Tooth
Treatment Of an Abscessed Tooth
An abscessed tooth is a pocket of pus, usually caused by some kind of infection and the spread of bacteria from the root of the tooth to the tissue just below or near the tooth.
In general, a tooth that has become abscessed is one whose underlying pulp (the tooth's nerve) has become infected or swollen. The pulp contains nerves, blood vessels and connective tissue, and lies within the tooth. It extends from the crown of the tooth to the tip of the root, in the bone of the jaws. An abscessed tooth can be an extremely painful condition, or ironically can be infected with no pain at all. This "silent abscess" is usually first visible on a radiograph and quite surprising to patients.
In some cases, antibiotics are administered in an attempt to reduce an infection.
Antibiotics are an ineffective cure for an abscess. Once infected, the inner portion of the tooth has no blood supply. Since antibiotics are carried by blood, you may temporarily reduce the infection around the tooth, but it will not be cured.
So how do you handle and abscessed tooth?
To cure the abscess, the infection inside the tooth must be removed.
To keep the tooth (if there is enough tooth remaining to keep), removal of the infection is accomplished by cleaning out the inside of the tooth. This is known as root canal therapy. Contrary to popular belief, root canal therapy is usually quite comfortable. Our patients are positively surprised. After root canal therapy, the tooth is brittle, so a crown is placed to preserve the tooth.
If you choose to not complete root canal therapy, the infection is removed by removal of your entire tooth. Then you choose how you would like that tooth replaced, usually an implant or bridge.
Root canal therapy is the only way to keep a tooth which would otherwise have to be extracted.

Teeth Grinding (Bruxism)
Teeth grinding, also called bruxism, is often viewed as a harmless, though annoying, habit. Some people develop bruxism from an inability to deal with stress or anxiety.
However, teeth grinding can literally transform your bite relationship and worse, severely damage your teeth and jaws over long periods of time.
Teeth grinding can cause abrasion to the chewing surfaces of your teeth. This abnormal wear and tear will prematurely age and loosen your teeth and open them to problems such as hypersensitivity (from the small cracks that form, exposing your dentin.)Bruxism can also lead to chronic jaw and facial pain, as well as headaches.
The longer a patient waits, the more difficult and costly the treatment.
If no one has told you that you grind your teeth, here are a few clues that you may suffer from bruxism:
- •Your jaw is often sore, or you hear popping sounds when you open and close your mouth.
- •Your teeth look abnormally short or worn down.
- •You notice small dents in your tongue.
Once worn away, it is hard to add height to a tooth or teeth. Usually, your jaw relationship must be reversed back to what it was before the wear occurred. This can be done; it does require treatment on usually all the remaining teeth. Prevention is best. A guard can be fabricated to prevent further wear of your teeth from bruxism.
.jpg&w=1920&q=75)
Cavities and Tooth Decay
What Is Tooth Decay?
Tooth decay is caused by a variety of things; in medical terms, cavities are called caries, which are caused by long-term destructive forces acting on tooth structures such as enamel and the tooth's inner dentin material.
These destructive forces include frequent exposure to foods rich in sugar and carbohydrates; soda, candy, ice cream-even milk-are the common culprits. Left inside your mouth from non-brushing and flossing, these materials break down quickly, allowing bacteria to do their dirty work in the form of a harmful, colorless sticky substance called plaque.
The plaque works in concert with leftover food particles in your mouth to form harmful acids that destroy enamel and other tooth structures.
If cavities aren't treated early enough, they can lead to more serious problems requiring treatments such as root canal therapy or loss of your tooth.
As you age, it becomes more difficult to prevent cavities.
Risk Factors for Cavities
- •Teeth
- •Low saliva or xerostomia (dry mouth)
- •Lots of dental work
- •Missing teeth
- •Recession
- •Decreased dexterity
- •Teeth with wear, cracks and fractures
- •Poor cleaning of teeth
- •Wearing partial dentures all the time
- •Irregular visits to the dentist
- •Opting against x-rays
Preventing Cavities
The best defense against cavities is good oral hygiene, including brushing with a fluoride toothpaste, flossing and rinsing. Your body's own saliva is also an excellent cavity fighter, because it contains special chemicals that rinse away many harmful materials. Chewing a good sugarless gum will stimulate saliva production between brushings. Xylitol-containing gums are best.
Special sealants and varnishes can also be applied to stave off cavities from forming.
If you have any of the following symptoms, you may have a cavity or infection:
- •Unusual sensitivity to hot and cold water or foods.
- •A localized pain in your tooth or near the gum line.
- •Teeth that change color.
Baby Bottle Tooth Decay
Baby bottle tooth decay is caused by sugary substances in breast milk and some juices, which combine with saliva to form pools inside the baby's mouth.
If left untreated, this can lead to premature decay of your baby's future primary teeth, which can later hamper the proper formation of permanent teeth.
One of the best ways to avoid baby bottle tooth decay is to not allow your baby to nurse on a bottle while going to sleep. Encouraging your toddler to drink from a cup as early as possible will also help stave off the problems associated with baby bottle tooth decay.

Toothaches
Toothaches can be extremely painful. This pain is your body's way of telling you that there is something wrong with your teeth or gums.
Simple toothaches can often be relieved by rinsing the mouth to clear it of debris and other matter. Sometimes, a toothache can be caused or aggravated by a piece of debris lodged between the tooth and another tooth. Avoid placing an aspirin between your tooth and gum to relieve pain, because the dissolving aspirin can actually harm your gum tissue.

Broken, Fractured, or Displaced Tooth
A broken, fractured or displaced tooth is scary. Quick, decisive action is necessary.
If the tooth has been knocked out, try to place the tooth back in its socket while waiting to see your dentist. It can be rinsed off beforehand, but do NOT scrub it. Call your dentist immediately! Most successful replantations occur in children who have the tooth replaced within an hour of its loss.
First, rinse the mouth of any blood or other debris and place a cold cloth or compress on the cheek near the injury. This will keep down swelling.
If you cannot place the tooth back in its socket, hold the dislocated tooth by the crown – not the root. Next, place it in a container of milk, saline or the victim's own saliva and keep it in the solution until you arrive at the emergency room or dentist's office.
For a fractured tooth, it is best to rinse with warm water and again, apply a cold pack or compress. Ibuprofen may be used to help keep down swelling.
If the tooth fracture is minor, the tooth can be sanded or if necessary, restored by the dentist if the pulp is not severely damaged.
If a child's primary tooth has been loosened by an injury or an emerging permanent tooth, try getting the child to gently bite down on an apple or piece of caramel; in some cases, the tooth will easily separate from the gum.
Sensitive Teeth
If you wince with pain after sipping a hot cup of coffee or chewing a piece of ice, chances are that you suffer from "dentin hypersensitivity", or more commonly, sensitive teeth. If the pain lingers after the coffee or ice is gone, you may have a bigger problem.
Hot and cold temperature changes cause your teeth to expand and contract. Over time, your teeth can develop microscopic cracks that allow these sensations to seep through to the nerves. Exposed areas of the tooth can cause pain and even affect or change your eating, drinking and breathing habits.
At least 45 million adults in the United States suffer at some time from sensitive teeth.
Sensitive teeth result when the underlying layer of your teeth (the dentin) becomes exposed. This can happen on the chewing surface of the tooth as well as at the gum line. In some cases, sensitive teeth are the result of gum disease, years of unconsciously clenching or grinding your teeth, or improper or too vigorous brushing (if the bristles of your toothbrush are pointing in multiple directions, you're brushing too hard).
Abrasive toothpastes are sometimes the culprit of sensitive teeth. Ingredients found in some whitening toothpastes that lighten and/or remove certain stains from enamel, and sodium pyrophosphate, the key ingredient in tartar-control toothpastes, may increase tooth sensitivity.
In some cases, desensitizing toothpaste, sealants, desensitizing ionization and filling materials including fluoride, and decreasing the intake of acid-containing foods can alleviate some of the pain associated with sensitive teeth. Sometimes, a sensitive tooth may be confused by a patient for a cavity or abscess that is not yet visible.
In any case, contact your dentist if you notice any change in your teeth's sensitivity to temperature.

Bad Breath (Halitosis)
An estimated sixty-five percent of Americans have bad breath. Over forty-million Americans have "chronic halitosis," which is persistent bad breath. Ninety percent of all halitosis is of oral, not systemic, origin.
Americans spend more than $1 billion a year on over the counter halitosis products, many of which are ineffective because they only mask the problem.
What causes bad breath?
Bad breath is caused by a variety of factors. In most cases, it is caused by food remaining in the mouth– on the teeth, tongue, gums, and other structures, collecting bacteria. Dead and dying bacterial cells release a sulfur compound that gives your breath an unpleasant odor. Certain foods, such as garlic and onions, contribute to breath odor. Once the food is absorbed into the bloodstream, it is transferred to the lungs, where it is exhaled. Brushing, flossing and mouthwash only mask the odor. Dieters sometimes develop unpleasant breath from fasting.
Periodontal (gum) disease often causes persistent bad breath or a bad taste in the mouth, and persistent bad breath may mean a sign that you have gum disease.
Gum disease is caused by plaque – the sticky, often colorless, film of bacteria that constantly forms on teeth.
Dry mouth or xerostomia may also cause bad breath due to decreased salivary flow. Saliva cleans your mouth and removes particles that may cause odor.
Tobacco products cause bad breath, stain teeth, reduce your ability to taste foods and irritate your gum tissues.
Bad breath may also be a sign that you have a serious health problem, such as a respiratory tract infection, chronic sinusitis, postnasal drip, chronic bronchitis, diabetes, gastrointestinal disturbance, liver or kidney ailment.
Here are characteristic bad breath odors associated with some of these illnesses:
- •Diabetes – acetone, fruity
- •Liver failure – sweetish, musty
- •Acute rheumatic fever – acid, sweet
- •Lung abscess – foul, putrefactive
- •Blood dyscrasias – resembling decomposed blood
- •Liver cirrhosis – resembling decayed blood
- •Uremia – ammonia or urine
- •Hand-Schuller-Christian disease – fetid breath and unpleasant taste
- •Scurvy – foul breath from stomach inflammation
- •Wegner's granulomatosis – Necrotic, putrefactive
- •Kidney failure – ammonia or urine
- •Diphtheria, dysentery, measles, pneumonia, scarlet fever, tuberculosis – extremely foul, fetid odor
- •Syphilis – fetid
Bad breath may also be caused by medications you are taking, including central nervous system agents, anti-Parkinson drugs, antihistamines/decongestants, anti-psychotics, anti-cholinergics, narcotics, anti-hypertensives, and anti-depressants.
Caring for bad breath
Daily brushing and flossing, and regular professional cleanings, will normally take care of unpleasant breath. And don't forget your often overlooked tongue as a culprit for bad breath. Bacterial plaque and food debris also can accumulate on the back of the tongue. The tongue's surface is extremely rough, and bacteria can accumulate easily in the cracks and crevices.
Eliminating periodontal disease and maintaining good oral health helps to reduce bad breath.
Improperly cleaned dentures can also harbor odor-causing bacteria and food particles. If you wear removable dentures, take them out at night and clean them thoroughly before replacing them.
If your dentist determines that your mouth is healthy and that the odor is not oral in nature, you may be referred to your family physician or to a specialist to determine the cause of the odor and possible treatment. If the odor is due to gum disease, your dentist can either treat the disease or refer you to a periodontist, a specialist in treating gum tissues. Gum disease can cause gum tissues to pull away from the teeth and form pockets. When these pockets are deep, only a professional periodontal cleaning can remove the bacteria and plaque that accumulate.
Mouthwashes are generally ineffective on bad breath. If your bad breath persists even after good oral hygiene, there are special products your dentist may prescribe, including "Zytex," which is a combination of zinc chloride, thymol and eucalyptus oil that neutralizes the sulfur compounds and kills the bacteria that causes them. In addition, a special antimicrobial mouth rinse may be prescribed. An example is chlorhexidine; it can stain your teeth, but the stain is easily removed with a normal cleaning. Some antiseptic mouth rinses have been accepted by the American Dental Association for their breath freshening properties and therapeutic benefits in reducing plaque and gingivitis. Instead of simply masking breath odor, these products have been demonstrated to kill the germs that cause bad breath. Ask your dentist about trying some of these products.
.jpg&w=1920&q=75)
Canker/Cold Sores
People sometimes confuse canker sores and cold sores, but they are completely unrelated. Both can be painful but knowing the differences can help you keep them in check.
A canker sore is typically one that occurs on the delicate tissues inside your mouth. It is usually light-colored at its base and can have a red exterior border.
A cold sore or fever blister, on the other hand, usually occurs on the outside of the mouth, usually on or near the nose or lips. A cold sore is contagious because it is caused by the herpes simplex virus, and it is usually painful and filled with fluid.
In most cases, patience is the best medicine for treating canker sores. A healthy diet and good oral hygiene are usually the best remedy, but some special rinses and anesthetics can help. Cold sores can be treated effectively with some over-the-counter topical creams; sometimes, an antiviral medication will be prescribed by your doctor.

Plaque
Plaque is a film of bacteria that forms on your teeth and gums after eating foods that produce acids. These foods may include carbohydrates (starches and sugars), such as candy and cookies, and starchy foods such as bread, crackers, and cereal.
Tooth decay leads to cavities and occurs when plaque remains on your teeth for an extended period of time, allowing the bacteria to 'eat away' at the surfaces of your teeth and gums. Ironically, the areas surrounding restored portions of teeth (where fillings, or amalgams have been placed) are particularly vulnerable to decay and are a breeding ground for bacteria.
Plaque can lead to gum irritation, soreness, and redness. Sometimes, your gums may begin to bleed as a result of plaque. This gradual degeneration can often cause gums to pull away from teeth. This condition is called receding gums.
Long-term plaque can lead to serious problems. Sometimes, the bacteria can form pockets of disease around tooth structures, eventually destroying the bone beneath the tooth.

Impacted/Wisdom Teeth
Wisdom teeth are the third and final set of molars that erupt in the back corners of the upper and lower normal adult mouth. Unfortunately, most people experience problems from wisdom teeth; in most cases, these problems occur later in life when they are much more difficult to remove, and it is much harder for you to recover. For this reason, it is strongly recommended that wisdom teeth be removed early.

Jaw Disorders
People who grind their teeth can sometimes develop a serious problem with their jaw, which left untreated, can adversely affect the teeth, gums and bone structures of the mouth. One of the most common jaw disorders is related to a problem with the temporomandibular joint, the joint that connects your lower jaw to your skull and allows your upper and lower jaw to open and close and facilitates chewing and speaking.
People with temporomandibular joint disorders (TMD) often have a clicking or popping sound when opening and closing their mouths. Such disorders are often accompanied by frequent headaches, neck aches, and in some cases, tooth sensitivity.
Some treatments for TMD include muscle relaxants, aspirin, biofeedback, or wearing a small plastic appliance in the mouth during sleep.
Minor cases of TMD involve discomfort or pain in the jaw muscles. More serious conditions involve improperly aligned joints or dislocated jaws. The most extreme form of TMD involves an arthritic condition of the jaw joint.

Lacerations and Cuts
Any kind of cut to your face and the delicate soft tissues inside your mouth should be addressed immediately in order to prevent further tissue damage and infection.
If a traumatic injury involves a broken facial bone such as the jaw, nose, chin or cheek, maxillofacial surgery may be required.
With jaw surgery, rubber bands, tiny wires, metal braces, screws or plates are often used to keep a fractured jaw in place following surgery. This allows the bone to heal and stay in proper alignment. Dental splints or dentures may also be required to supplement the healing process following jaw surgery.

Bulimia Nervosa
People with eating disorders can suffer from oral health problems as well. This is because many of the behaviors associated with anorexia nervosa and bulimia nervosa-such as binge eating, self-induced vomiting, and use of diuretics or laxatives-cause changes in the mouth.
For example, repeated episodes of vomiting, which is common in people with bulimia, releases harmful stomach acids that wear away tooth enamel and lead to gingivitis and tooth decay. Other problems, such as poorly fitting fillings and braces, are another byproduct of such eating disorders.
Brushing after episodic vomiting is actually more harmful than one would think. The best practice is to rinse thoroughly with a neutral solution such as baking soda and water.

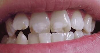
Fluorosis
Fluorosis is a condition in which your body has been exposed to too much fluoride. In normal doses (typically found in a safe drinking water system and an ADA-approved toothpaste), fluoride is a healthy compound that promotes strong teeth, which has the ability to fight cavities and other problems.
But sometimes, fluorosis occurs when fluoride-containing toothpastes or rinses are swallowed, instead of expelled.
Fluorosis causes a number of aesthetic problems, including abnormally darkened or stained teeth. While such problems are generally harmless to your health, they can create concerns with your appearance.

