
Smile Gallery
Witness the transformative power of expert dental care. Each smile tells a story of renewed confidence and life-changing results.
Transforming Smiles, Changing Lives
Every transformation showcases our commitment to exceptional results through advanced techniques and personalized care. These are real patients who trusted us with their smiles.
From dental implants to veneers, discover how we help patients regain their confidence and achieve the smile they've always wanted.

VENEERS - Full Smile Transformation
This patient did not like their worn, discolored teeth with visible gaps and uneven smile.

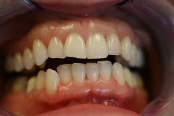
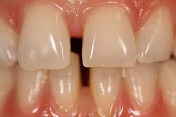
VENEERS - Gap Closure
This patient did not like the space between their front teeth.

VENEERS - Whitening & Alignment
This patient was not happy with the yellowing and uneven appearance of their teeth.

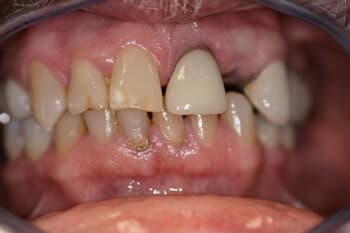
IMPLANT - Single Tooth Restoration
This patient had a damaged tooth with decay and a failing metal crown.

IMPLANTS - Full Arch Restoration
This patient had severely worn and discolored teeth throughout their upper arch, affecting their ability to eat and smile confidently.

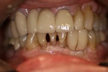
CROWNS - Complete Smile Makeover
This patient had worn, discolored teeth with uneven edges and yellowing that affected their confidence.

VENEERS - Severe Wear Restoration
This patient had severely worn and discolored front teeth with visible damage from years of grinding.

VENEERS - Discoloration & Gap Correction
This patient was unhappy with discolored front teeth and a visible gap between their central incisors.

VENEERS - Comprehensive Cosmetic Enhancement
This patient had yellowed, worn teeth with spacing issues and an uneven appearance that made them self-conscious.

IMPLANTS - Full Lower Arch Restoration
This patient was missing multiple lower teeth and had implant posts placed to support a full arch restoration. The before photos show the implant abutments ready for the final prosthetic.

FULL MOUTH RECONSTRUCTION
This patient had severely damaged and missing front teeth with significant gaps and deterioration that affected their quality of life.
Ready for Your Own Transformation?
Schedule a consultation today and discover how we can help you achieve the smile you've always dreamed of.
