Cosmetic Dentistry
Comprehensive aesthetic dental treatments to enhance your smile's beauty.
✓ Same-Day Appointments Available • ✓ Flexible Financing Options • ✓ 12+ Years Experience
Cosmetic Dentistry Overview
“I wish I had done it sooner!” People choose esthetic dental procedures/surgery for various reasons-to repair a defect such as a malformed bite or crooked teeth, treat an injury, or just improve their overall appearance. Whatever the reason, the ultimate goal is to restore a beautiful smile. And most people wish they had done it sooner. Dr. Michaels works with a specialized lab with considerable training to achieve a natural smile for men and women of any age.
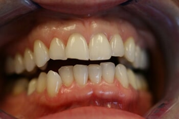
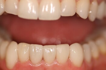
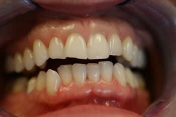
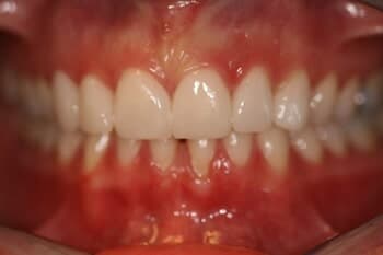
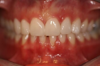
Please see our Smile Gallery.
For these and many other reasons, esthetic dentistry has become a vital and important part of the dental profession. Common esthetic dental procedures can be performed to correct misshaped, discolored, chipped or missing teeth. They also can be used to change the overall shape of teeth-from teeth that are too long or short, have gaps, or simply need to be reshaped.
To achieve the result, you desire; you and your dentist must be on the same page. Because this is critically important, Dr. Michaels shows you your teeth twice before the lab ever makes them. First, impressions are taken, and a specially qualified lab completes a “wax-up.” At your second visit, you will see what the lab technician and Dr. Michaels have designed based on your requests. Because you can see the result in wax, changes can be made if it is not what you imagined. After the wax-up is ready, your next appointment will include preparing your teeth and placing temporaries. This is the second time you get to see your new smile! Dr. Michaels actually uses a model of the wax-up to make your temporaries. So, when you walk out that day, you can “try out” your teeth. You will be seen in 1-2 weeks after a period of settling in, and small adjustments will be made to correct your ability to function if needed. You can also request small changes at this time. Only after esthetics and function are confirmed is the final impression sent to the lab for fabrication. So by the time you receive your final smile, you can feel confident that you know what you will look like, and that, most importantly, you will be happy with it. It is a huge gamble to change your smile without these steps; sometimes an irreversible one.

Some of the more common procedures involve:
Bonding
A procedure in which tooth-colored material is used to close gaps or change tooth color.
Contouring and reshaping
A procedure that straightens crooked, chipped, cracked or overlapping teeth.
Veneers
A procedure in which ultra-thin coatings are placed over the front teeth. Veneers can change the color or shape of your teeth. For example, veneers have been used to correct unevenly spaced, crooked, chipped, oddly shaped or discolored teeth.
Whitening and bleaching
As the term implies, whitening and bleaching, a rapidly increasing procedure, are used to make teeth whiter. This is sometimes all you need to make the difference.
Which techniques should be used to improve your smile? A dental exam will take many factors into consideration, including your overall oral health.
Veneers / Smile Makeovers
Take Your Smile from Average to Dazzling with Veneers
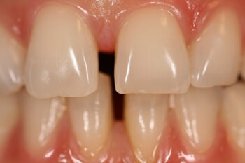
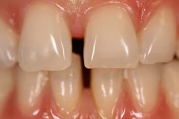
If you're embarrassed about your smile because of decayed, disfigured or discolored teeth, you may be a good candidate for veneers. Many people desire a brighter, cleaner, more attractive smile, but have chipped, stained, discolored, unevenly spaced, or even slightly crooked front teeth. If this sounds like you, we will be glad to help evaluate your specific situation, listen to the exact changes you have in mind, and show you examples of the end result, before any treatment is performed. Often, porcelain veneers, also known as laminates, can provide a completely improved and dazzling smile in just a few appointments.
The actual treatment usually involves only two visits. The number of pre-operative visits, to work out details to ensure predictable results, depends on the complexity of your situation and the changes you desire. There usually is a follow-up visit or two for final adjustments and polishing, and to review instructions for care of your new smile to insure it lasts years and years.




Teeth Whitening
Whitening procedures have effectively restored the smile of people with stained, dull, or discolored teeth. This is a procedure with almost no risk and is low cost which can really change your smile.
The darker tissue of your teeth, the dentin, can become exposed as the outer layer of enamel is worn away by the effects of aging or things like caffeine and tobacco.
Food particles are naturally attracted to a tooth's enamel by a certain protein. Products like coffee and tea, berries and soy sauce are notorious for staining teeth. Over time, teeth actually become more absorbent and vulnerable to staining from food and other substances.
One type of stain-caused by traumatic injuries, medications and fluorosis-actually begins inside the tooth; brushing and flossing don't help. Another type of stain-one that can be more easily attached by brushing, flossing and rinsing-is caused by external factors such as foods.
More and more people today are choosing tooth-whitening procedures to reverse the effects of aging and abuse from food and tobacco stains.
Some commercially available “whitening toothpastes” can be somewhat effective at removing stains and making teeth a few shades brighter. However, many of these products have abrasive substances that can actually wear away your tooth's enamel.
Whitening agents actually change the color of your teeth, but are most effective on certain types of stains. For example, bleaching agents have a difficult time removing brownish or grayish stains. These products also are not as effective on pitted or badly discolored teeth, or on restorations such as crowns, bridges, bonding and tooth-colored fillings (porcelain veneers or dental bonding may be more appropriate in this case).
Professional whitening performed by our office is considered to be the most effective and safest method; when done properly, tooth whitening can last as long as five years. Over-the-counter whitening systems are somewhat effective as long as they are monitored and directions followed closely.
Professional whitening is most effective because:
- the trays which hold the gel in contact with your teeth are customized, so the gel contacts the teeth more intimately
- the gel used has a higher percentage of the effective agent than can be purchased at any store or online.
- Some people do not realize that once whitening trays are made, they can last over 10 years with normal use, and buying the gel usually costs about the same as the over-the-counter whitening systems.

Chipped, Cracked, and Worn Teeth
Special thin laminates, called veneers, can often be used to correct discolored, worn down, cracked and chipped teeth. Veneers can also be used to close unsightly gaps between teeth. Stronger types of veneers made of porcelain, also called composite veneers, typically last longer because they are bonded to the tooth.
Another process called bonding can accomplish some of the same things, but it does not last as long. Material that looks much like the enamel on your teeth is used during a bonding procedure. The material is shaped to the tooth, and when it becomes hard it is polished.
In addition, dental contouring and reshaping can correct chipped, cracked, crooked, or even overlapping teeth. This procedure can alter the shape, length, or position of teeth.


Excessive or Uneven Gums
Many people inherit the problem of excessive or uneven gums.
A cosmetic surgical procedure called a gum lift can be used to correct this problem.
Some abnormalities, as well as advanced gum disease that cannot be treated periodontally or non-surgically, may require application of soft tissue grafts. Such procedures can be used to cover an exposed root or correct uneven gum lines.

Reconstructed Fillings
Newer kinds of fillings made from composite resins and porcelain can restore unsightly fillings; many people are surprised how natural these kinds of filling materials can make a tooth once covered by the old-fashioned silver amalgams.

Schedule Your Consultation
Experience exceptional dental care with advanced technology and compassionate service
