Dental Implants
At Micheals Dental, we specialize in advanced dental implant solutions using the latest titanium technology. Our expert implantologists have restored over 5,000 smiles with precision placement and immediate-load options. Whether you need a single tooth implant or full arch restoration, we deliver permanent results that look and feel natural.
✓ Same-Day Appointments Available • ✓ Flexible Financing Options • ✓ 12+ Years Experience
Dental Implants Overview
Before development of dental implants, dentures and bridges were the only alternatives for replacing a missing tooth or teeth. Implants are so well-designed; they mimic the look and feel of natural teeth. If you are a candidate, the best result is a dental implant.
Implants are synthetic structures that are placed in the area of the tooth normally occupied by the root. Implants are anchored to the jawbone or metal framework on the bone and act as a foundation for an artificial tooth or permanent bridge. Implants are usually made of titanium. This is the same metal used for most joint replacements, such as hips or knees. Implants can also be used to attach dentures.
Many people are candidates for dental implants. For a successful implant to take hold, a candidate must have proper bone foundation and have a strong immune system. If the bone foundation is lacking, grafting procedures can usually recreate an adequate foundation for successful implants. People with osteopenia and osteoporosis can still enjoy implants!
In general, good candidates who have dental implants can expect high success rates with the procedure. Implants have one of the highest success rates of any replacement in your body.
The procedure can take several visits. Once a sufficient foundation is achieved (or if adequate bone already exists), the implant is placed to occupy the space where the tooth root previously existed. The site is allowed to heal for several weeks or months. This gives your tissue time to grow around the anchor to more firmly hold it in place.
During a follow-up visit, an artificial, natural-looking tooth is fitted over the implanted anchor.

Full Upper Replacement
The upper set of teeth is replaced with implants. Procedure steps include:
- Missing tooth roots are replaced with implants, which are covered under the gum line.
- A healing period of up to six months allows implants to take.
- The implants are uncovered, and extensions attached.
- Replacement teeth are affixed to the implants and extensions.
- In some cases, full upper replacements can be removed.

Full Lower Replacement
The lower set of teeth is replaced with implants. Full lower replacement usually only uses four to six implants (near the front), which are used to anchor a denture. This obviates the need for denture adhesive.

Anterior Replacement
Implants are used to replace the front teeth (also called incisors and cuspids). Procedure steps include:
- Missing tooth roots are replaced with implants, which are covered under the gum line.
- A healing period of up to six months allows implants to take.
- The implants are uncovered, and extensions attached.
- Replacement teeth are affixed to the implants and extensions.

Posterior Replacement
Implants are used to replace the bicuspids and molars (the back teeth). Procedure steps include:
- Missing tooth roots are replaced with implants, which are covered under the gum line.
- A healing period of up to six months allows implants to take.
- The implants are uncovered, and extensions attached.
- Replacement teeth are affixed to the implants and extensions.

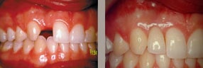
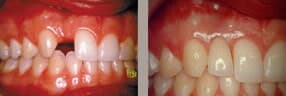
Single Tooth Replacement
Procedure steps include:
- Missing tooth root is replaced with an implant, which remains covered under the gum line.
- A healing period of up to six months allows the implant to take.
- The implant is uncovered, and an extension attached.
- Replacement tooth is affixed to the implant and extension.

Grafting
Before placement of an implant, it is sometimes necessary to create a stronger foundation. This is similar to the foundation of a home or building. Without a strong foundation, predictability and long-term success decreases. If you build on sand, or over a sinkhole, you can expect failure. With a good foundation, you can expect years of success.
Grafts can be from you, a tissue bank, from other living creatures or synthetically made. Most common grafts are actually small particles placed in the area the way salt is sprinkled on food. The area is then covered with a dressing and is allowed to heal. The amount of time and number of grafts needed depends on the state of the site in its existing form.
The most effective and important time to graft is when a tooth is removed. This procedure is called socket or ridge preservation. Bone is lost immediately following removal as your body believes that bone is no longer needed since there is no tooth to be supported. Once lost, it becomes more difficult, and sometimes impossible, to recover. Placement of a graft material prevents the majority of this loss and preserves, or holds, the bone for implant placement, bridge support, or denture support.

Sinus Augmentation (Anostromy)
People who have maxillary teeth missing for a long time or periodontal disease sometimes experience pneumatization (bone loss) of the sinuses. A sinus augmentation is a straightforward procedure performed to allow patients with bone loss to have the option of implants. The procedure adds grafting material to increase the height of the lost bone, and allow support for an implant.

Schedule Your Consultation
Experience exceptional dental care with advanced technology and compassionate service
